Coagulative necrosis is a form of tissue death characterized by preservation of cellular outlines despite loss of nuclei and metabolic activity.
What is coagulative necrosis?
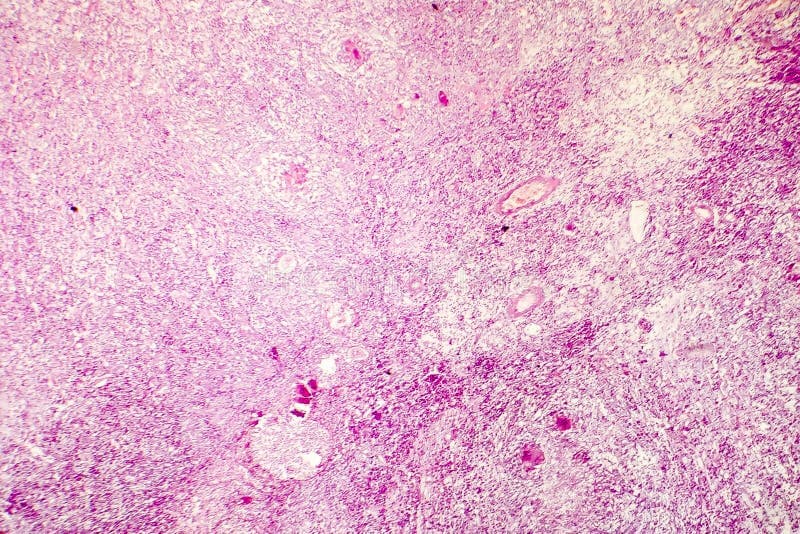
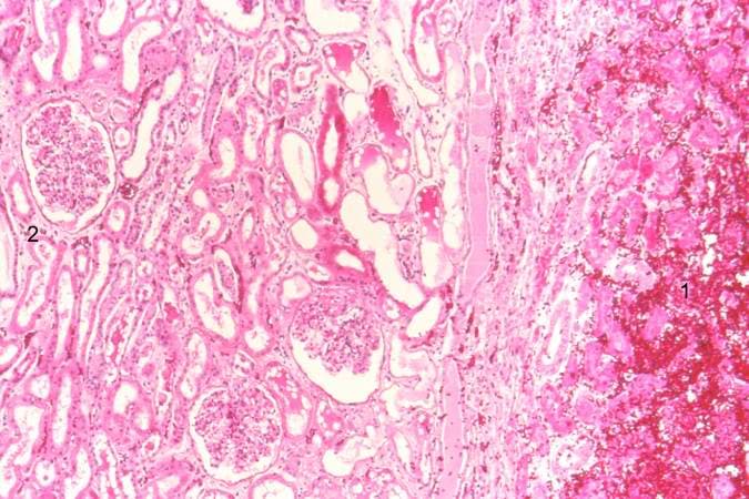
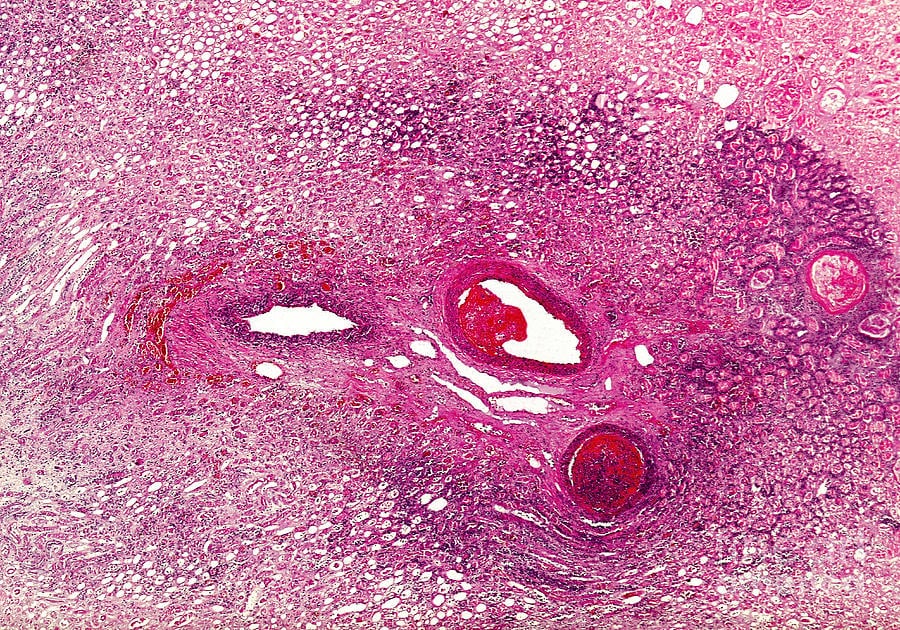
Coagulative necrosis is a pattern of irreversible cell death characterized by preservation of tissue architecture despite loss of cellular viability. It typically results from abrupt interruption of blood supply (ischemia) leading to acute infarction in solid organs such as the heart, kidneys, and spleen. Within minutes of ischemic injury, depletion of ATP impairs ion pumps, causing calcium influx and activation of degradative enzymes which denature structural proteins and enzymes. Because the degradative lysosomal enzymes themselves are inactivated by the denaturing environment, the basic outline of dead cells and tissue architecture remains intact for several days. Grossly, affected areas appear pale, firm, and wedge-shaped in the case of organ infarcts. Microscopically, coagulative necrosis shows eosinophilic cytoplasm, loss of nuclei, and preserved cell outlines. Over time, inflammatory cells infiltrate the damaged tissue, clearing debris and initiating fibroblast-mediated scar formation. This contrasts with liquefactive necrosis, where enzymatic digestion leads to tissue liquefaction, and with other necrosis types that display different morphological features. Recognizing coagulative necrosis provides important diagnostic clues to the timing and nature of ischemic injuries in pathological examinations and guides clinical management of infarctions.

What are the causes & symptoms of coagulative necrosis?
Coagulative necrosis arises when tissue architecture remains intact despite irreversible cell death driven by protein denaturation. It most commonly follows abrupt interruption of blood flow—thrombosis, embolism, advanced atherosclerosis, vasospasm, sepsis-related arterial occlusion, or external compression—leading to ischemia and infarction in solid organs such as the heart, kidney, and spleen. Exogenous toxins, severe thermal injuries, chemical burns, and direct trauma can likewise produce coagulative changes by denaturing intracellular enzymes and structural proteins faster than lysosomal hydrolases can digest them. Clinically, patients present with organ‐specific symptoms and signs of inflammation: crushing chest pain and shortness of breath in myocardial infarction; flank or abdominal pain in renal and splenic infarcts; focal neurologic deficits in cerebral infarcts; or localized swelling, tenderness, and, in cutaneous injuries, blistering. Systemic manifestations often include low-grade fever and leukocytosis. Laboratory studies reveal elevated markers—troponin, creatine kinase, lactate dehydrogenase—when cardiac muscle is involved. Grossly, affected tissues appear pale, firm, and wedge-shaped, whereas microscopically they display homogeneous, eosinophilic cytoplasm, preserved cell outlines, and nuclear changes (pyknosis, karyorrhexis, karyolysis). Recognizing these causal factors and clinical features is essential for early diagnosis and intervention, since prompt restoration of perfusion or removal of the offending insult can limit tissue loss and improve patient outcomes.

What are the different types of coagulative necrosis?
Coagulative necrosis, defined by preservation of tissue architecture despite cell death, manifests in several distinct patterns depending on the injurious context.
The most familiar subtype occurs in solid-organ infarcts—myocardial, renal, or splenic—where abrupt ischemia produces pale, firm, wedge-shaped regions.
Zenker’s necrosis represents a traumatic variant affecting skeletal muscle after crush injuries or severe heat, yielding glassy, waxy fibers with preserved striations.
Caseous necrosis, classically seen in tuberculosis and certain fungal infections, merges coagulative features with granulomatous inflammation: the central area appears cheesy and granular despite intact cell outlines.
In vascular beds with dual blood supplies, such as the lung or intestine, hemorrhagic (red) infarcts display a combination of coagulative necrosis and blood-filled spaces.
Clinically, gangrenous necrosis—commonly in peripheral limbs—describes dry gangrene, a gross form of coagulative necrosis characterized by mummified, blackened tissue, which can progress to wet gangrene when secondary infection introduces liquefactive changes.
Although all these subtypes share the core mechanism of protein denaturation outpacing enzymatic digestion, their variable appearances—pale solid infarcts, cheesy granulomas, glassy muscle, or mummified limbs—reflect differences in blood flow, tissue composition, and microbial involvement.

How is coagulative necrosis treated?
Treatment of coagulative necrosis centers on addressing the underlying cause, restoring perfusion when possible, and removing irreversibly damaged tissue to prevent complications. In ischemic infarcts—such as myocardial or peripheral limb infarctions—prompt reperfusion through thrombolytic therapy, percutaneous angioplasty, or surgical revascularization can salvage at‐risk tissue surrounding the necrotic core. Supportive measures include oxygen supplementation, hemodynamic stabilization, and administration of anticoagulants or antiplatelet agents to minimize further thrombus formation. Once necrosis is established, however, the dead tissue cannot recover metabolic function and requires surgical debridement or, in the case of gangrenous limbs, amputation to forestall infection and systemic inflammatory response. In soft‐tissue crush injuries or Zenker’s necrosis of muscle, early fasciotomy and removal of non‐viable fibers reduce compartment pressures and promote healing. When infection complicates areas of coagulative necrosis—such as in caseous necrosis from tuberculosis—targeted antimicrobial regimens (e.g., multi‐drug antitubercular therapy) eradicate pathogens and prevent spread. Adjunctive therapies like hyperbaric oxygen may enhance oxygen delivery to marginal zones, support angiogenesis, and speed granulation. Long‐term management involves optimizing comorbid conditions—diabetes, hypertension, or hyperlipidemia—to reduce recurrence risk. Regular follow-up imaging and monitoring ensure that no residual necrotic foci remain, paving the way for rehabilitation, scar maturation, and restoration of organ function where feasible.

Conclusion
Coagulative necrosis marks irreversible ischemic injury, identifiable by preserved tissue outlines despite cell death. Understanding its characteristic patterns in infarcts, muscle, and granulomas informs prompt strategies—reperfusion, debridement, or antimicrobials—that limit damage and foster recovery.
Read More
