Knee replacement surgery is a common procedure aimed at relieving pain and restoring function in severely diseased knee joints. There are two main types of knee replacement surgeries: partial knee replacement and total knee replacement.
Partial vs. Total Knee Replacement
Partial and total knee replacements are surgical options for treating severe knee arthritis, but they differ significantly in scope and recovery.
Partial knee replacement involves replacing only the damaged compartment of the knee, preserving more of the natural knee structure and often resulting in a quicker recovery and more natural movement post-surgery. This procedure is ideal for patients with arthritis confined to a single compartment.
In contrast, total knee replacement replaces all three compartments of the knee, making it suitable for patients with widespread arthritis. Although it involves a more extensive surgery and longer recovery period, it generally provides more comprehensive pain relief and improved function for those with severe knee damage.
The choice between the two depends on the extent of the knee damage and the patient's overall health and activity level. Consulting with an orthopedic surgeon is crucial to determine the most appropriate treatment option.

What is Total Knee Replacement?
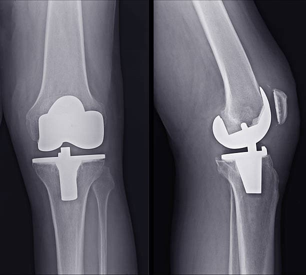
Total knee replacement, also known as total knee arthroplasty, is a surgical procedure designed to relieve pain and restore function in severely diseased knee joints. This procedure is typically recommended for patients suffering from severe arthritis or significant knee injuries that have not responded to conservative treatments such as medications, physical therapy, or less invasive surgeries. The knee joint, which is the largest joint in the body, is composed of the lower end of the thighbone (femur), the upper end of the shinbone (tibia), and the kneecap (patella). In a healthy knee, these bones are cushioned by cartilage, which allows for smooth and pain-free movement. However, in cases of severe arthritis, this cartilage wears away, leading to bone-on-bone contact, pain, and reduced mobility.
During a total knee replacement surgery, the damaged bone and cartilage are removed from the knee joint and replaced with artificial components. These components typically include a metal femoral component, a metal and plastic tibial component, and a plastic patellar component. The artificial parts are designed to mimic the natural movement of the knee, allowing for improved function and reduced pain. The surgery involves making an incision over the knee, removing the damaged tissue, and securing the new components to the bone using specialized cement or other fixation methods.
The procedure usually takes about one to two hours, and patients typically stay in the hospital for a few days post-surgery. Recovery involves a combination of rest, physical therapy, and gradual return to normal activities. Most patients can expect significant pain relief and improved knee function within a few months, although full recovery can take up to a year. The success rate of total knee replacement is high, with more than 90% of patients experiencing substantial improvement in pain and mobility.
Total knee replacement is considered one of the most successful procedures in modern medicine, with advancements in surgical techniques and materials continually improving outcomes. However, it is not without risks. Potential complications include infection, blood clots, and issues with the artificial joint, such as loosening or wear over time. Despite these risks, the procedure remains a highly effective option for those with debilitating knee conditions, offering a new lease on life for many patients.

What is Partial Knee replacement?
Partial knee replacement, also known as unicompartmental knee arthroplasty, is a surgical procedure aimed at treating arthritis confined to a single compartment of the knee. Unlike total knee replacement, which involves replacing the entire knee joint, partial knee replacement targets only the damaged area, preserving the healthy parts of the knee. This procedure is typically recommended for patients with osteoarthritis that affects only one side of the knee, either the medial (inner) or lateral (outer) compartment, while the rest of the knee remains relatively healthy.
During the surgery, the orthopedic surgeon makes a small incision over the knee and removes the damaged bone and cartilage from the affected compartment. These are then replaced with metal and plastic components designed to mimic the natural movement of the knee. The goal is to relieve pain and improve function while maintaining as much of the natural knee structure as possible. One of the significant advantages of partial knee replacement is that it is less invasive than total knee replacement, resulting in a shorter hospital stay, faster recovery, and less postoperative pain.
Patients who undergo partial knee replacement often experience a quicker return to normal activities compared to those who have total knee replacement. Physical therapy typically begins shortly after surgery to help restore movement and strengthen the muscles around the knee. Most patients can walk with assistance within a day or two and may return to low-impact activities, such as walking and swimming, within a few weeks. However, high-impact activities and heavy lifting are generally discouraged to prolong the life of the implant.
Despite its benefits, partial knee replacement is not suitable for everyone. It is most effective for patients with localized arthritis and good overall knee stability. Those with inflammatory arthritis, significant knee stiffness, or damage to multiple compartments of the knee may not be ideal candidates. Additionally, while partial knee replacement can provide excellent pain relief and improved function, there is a higher likelihood of needing revision surgery in the future compared to total knee replacement.

The Difference Between Partial and Total Knee Replacements
Partial and total knee replacements are surgical procedures designed to alleviate pain and restore function in patients with severe knee arthritis, but they differ significantly in their approach and scope. This procedure is less invasive, preserving more of the patient's natural knee structures, including the ligaments. In contrast, total knee replacement involves replacing all three compartments of the knee: the medial, lateral, and patellofemoral (front) compartments. This procedure is recommended for patients with widespread arthritis affecting the entire knee joint. During the surgery, the damaged bone and cartilage are removed and replaced with metal and plastic components designed to mimic the natural movement of the knee.
The choice between partial and total knee replacement depends on several factors, including the extent of the knee damage, the patient's age, activity level, and overall health. Partial knee replacement offers the advantage of a less invasive procedure with a faster recovery, but it may not be suitable for patients with significant knee deformity or inflammatory arthritis, which often affects multiple compartments. On the other hand, total knee replacement, while more invasive, is a more definitive solution for patients with severe, widespread arthritis, providing long-term pain relief and improved knee function.
Both procedures have their own set of risks and benefits. Partial knee replacement has a higher likelihood of needing revision surgery in the future compared to total knee replacement.

Benefits and Risks of Partial Knee Replacement
Benefits of Partial Knee Replacement
One of the primary benefits of partial knee replacement is the preservation of more of the patient's natural knee structure, which often results in a knee that feels more natural post-surgery compared to a total knee replacement.
Additionally, the recovery time for partial knee replacement is generally shorter, with many patients resuming normal activities within six weeks. This faster recovery is partly due to the less invasive nature of the surgery, which also tends to result in less postoperative pain and a lower risk of complications such as infection and blood clots.
Another significant advantage is the reduced hospital stay. Patients undergoing partial knee replacement often spend less time in the hospital compared to those undergoing total knee replacement. This can be particularly beneficial for older adults or those with other health conditions that make prolonged hospital stays risky. Moreover, the procedure has been found to be effective in providing pain relief and improving knee function, allowing patients to return to their daily activities with less discomfort.
Risks of Partial Knee Replacement
One of the main concerns is the potential need for revision surgery. Because only part of the knee is replaced, there is a higher chance that the remaining natural parts of the knee may deteriorate over time, necessitating further surgical intervention.
Additionally, not all patients are suitable candidates for this procedure. Those with inflammatory arthritis, significant knee stiffness, or ligament damage may not benefit from partial knee replacement and might be better served by a total knee replacement.
There are also general surgical risks to consider, such as infection, blood loss, and injury to surrounding tissues. While these risks are relatively low, they are still important factors to discuss with a healthcare provider.
Furthermore, the success of the surgery largely depends on the surgeon's skill and the patient's adherence to postoperative care instructions.

Benefits and Risks of Total Knee Replacement
Benefits of Total Knee Replacement
One of the primary benefits of total knee replacement is the substantial pain relief it provides. Many patients experience a dramatic reduction in knee pain, which allows them to return to daily activities with greater ease and comfort.
Additionally, the procedure can significantly improve mobility and knee function, enabling patients to walk, climb stairs, and perform other activities that were previously difficult.
Another advantage of total knee replacement is its durability. Modern prosthetic components are designed to last for many years, often 15 to 20 years or more, depending on the patient's activity level and overall health. This long-term solution can be particularly beneficial for younger patients or those with an active lifestyle.
Furthermore, advancements in surgical techniques and prosthetic design have led to improved outcomes and higher patient satisfaction rates.
Risks of Total Knee Replacement
One of the most significant risks is the potential for complications during or after surgery. These can include infection, blood clots, and nerve damage. Infection is a serious concern, as it can lead to prolonged hospital stays and additional surgeries to address the issue. Blood clots, particularly deep vein thrombosis (DVT), can occur in the legs and may travel to the lungs, causing a potentially life-threatening condition known as pulmonary embolism. Nerve damage, although rare, can result in numbness, weakness, or chronic pain around the knee.
Another risk is the possibility of implant loosening or wear over time. While modern prosthetics are durable, they are not indestructible. Over time, the components may loosen or wear out, necessitating revision surgery. This is more likely to occur in younger, more active patients who place greater demands on their knee joint.
Additionally, some patients may experience stiffness or limited range of motion after surgery, which can impact their overall satisfaction with the procedure.

Conclusion
In conclusion, both partial and total knee replacements offer significant benefits for individuals suffering from severe knee pain and mobility issues due to arthritis or injury. Partial knee replacement is less invasive, preserves more of the natural knee structure, and typically allows for a quicker recovery with a more natural-feeling knee post-surgery. However, it is only suitable for patients with damage confined to a single compartment of the knee and carries a higher risk of needing revision surgery. On the other hand, total knee replacement addresses more extensive knee damage, providing substantial pain relief and improved function with long-lasting results, but it involves a more invasive procedure with a longer recovery period and higher risk of complications. Ultimately, the choice between partial and total knee replacement should be made in consultation with a healthcare provider, considering the patient's specific condition, lifestyle, and overall health.
Read More
