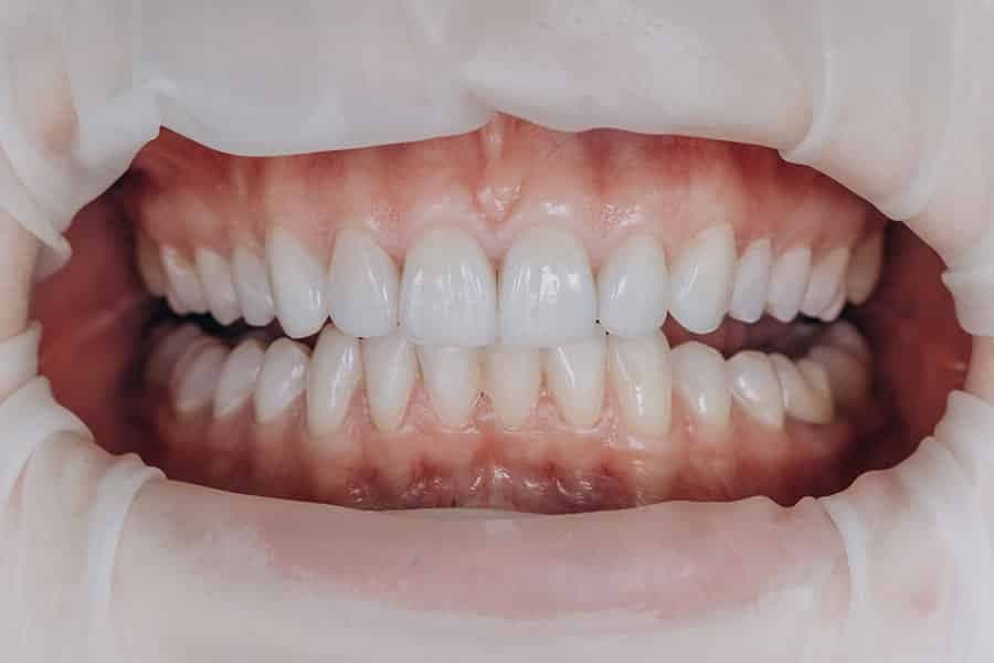
A dental crown is a custom-made cap designed to fit over a damaged, decayed, or otherwise compromised tooth, restoring its shape, size, strength, and appearance.
About dental crowns
A dental crown is a custom-made prosthetic device designed to cover and restore the functionality, shape, and appearance of a damaged or weakened tooth. These crowns are often used in restorative dentistry to address a variety of dental issues, including extensive tooth decay, fractures, or wear that compromise the integrity of the tooth. By encasing the entire visible portion of the affected tooth, a dental crown helps protect it from further damage while simultaneously restoring its strength and appearance.
Dental crowns can be made from a range of materials, each offering distinct advantages. Porcelain and ceramic crowns are popular for their natural appearance, as they can be color-matched to the surrounding teeth, making them an excellent choice for front teeth. Metal crowns, often made from gold or other metal alloys, are highly durable and are typically used for molars where strength and endurance are paramount. Porcelain-fused-to-metal (PFM) crowns combine the aesthetic benefits of porcelain with the durability of metal, providing a balance between appearance and strength. Additionally, all-resin crowns are a more affordable option but may wear down over time compared to other materials.
The process of getting a dental crown typically involves two appointments with the dentist. During the first visit, the dentist prepares the affected tooth by removing any decay and shaping it to fit the crown. This preparation may involve reducing the tooth size to ensure the crown will fit properly and comfortably. An impression of the tooth is then taken, along with the surrounding teeth, to ensure a precise fit. This impression is sent to a dental laboratory where the custom crown is fabricated. In the interim, a temporary crown is placed over the prepared tooth to protect it until the permanent crown is ready.
At the second appointment, the dentist removes the temporary crown and checks the fit and color of the permanent crown. After making any necessary adjustments, the crown is cemented into place using a strong dental adhesive. Once in place, the crown restores the tooth’s functionality, allowing the patient to bite and chew with confidence.
Dental crowns not only provide structural support and protection to compromised teeth but also enhance their appearance, contributing to a healthier and more attractive smile. Proper care, including good oral hygiene and regular dental check-ups, can ensure the longevity of a dental crown, making it a reliable and long-lasting solution for many dental concerns.

Types of dental crowns
Porcelain Crowns: Porcelain crowns are renowned for their natural appearance and ability to blend seamlessly with the surrounding teeth. These crowns are an excellent choice for front teeth restorations where aesthetics are paramount. Porcelain crowns can be color-matched to the patient’s natural teeth, providing a virtually invisible restoration. However, they may not be as strong as other types, making them less suitable for molars or areas subjected to high chewing pressure.
Ceramic Crowns: Similar to porcelain crowns, ceramic crowns are also favored for their natural look and ability to mimic the translucency of natural teeth. They are often used for front teeth due to their aesthetic appeal. Ceramic crowns are biocompatible, meaning they are unlikely to cause allergic reactions or gum irritation. They offer a great balance between strength and beauty, making them a popular choice for many patients.
Metal Crowns: Metal crowns are known for their exceptional strength and durability, making them ideal for molars and teeth that endure significant biting and chewing forces. They are typically made from gold, platinum, or base metal alloys like nickel-chromium. While metal crowns are highly resistant to wear and can last for many years, their metallic color makes them less suitable for visible areas of the mouth. However, they require less tooth structure removal compared to other types, preserving more of the natural tooth.
Porcelain-Fused-to-Metal (PFM) Crowns: PFM crowns combine the aesthetic benefits of porcelain with the strength of a metal core. The metal provides a strong, supportive foundation, while the porcelain overlay ensures a natural appearance. These crowns are versatile and can be used for both front and back teeth. However, over time, the metal underneath the porcelain may show through as a dark line, especially along the gum line, which can be a cosmetic concern for some patients.
All-Resin Crowns: All-resin crowns are a more affordable option compared to other types. They are made entirely of composite resin material, which can be color-matched to the natural teeth. While they provide a decent aesthetic result, all-resin crowns are less durable and more prone to fractures and wear compared to porcelain or metal crowns. They are often used as a temporary solution rather than a permanent restoration.

During a dental crown procedure
The dental crown procedure is a multi-step process designed to restore the function, shape, and appearance of a damaged or weakened tooth. The procedure typically involves two visits to the dentist and begins with an initial assessment and preparation. During the first visit, the dentist will thoroughly examine the affected tooth and surrounding area, often using X-rays to evaluate the extent of the damage and to check the health of the tooth's root and bone structure. Once the dentist determines that a crown is the appropriate treatment, they will begin by numbing the tooth and the surrounding gum tissue with a local anesthetic to ensure the patient’s comfort throughout the procedure.
The next step is to prepare the tooth for the crown. This involves reshaping the tooth by removing a portion of the enamel and any decayed or damaged areas to create a stable base for the crown. The amount of tooth structure removed depends on the type of crown being used. For instance, metal crowns require less tooth reduction compared to all-ceramic or porcelain crowns. Once the tooth is properly shaped, the dentist will take an impression of the prepared tooth, as well as the opposing teeth, to ensure that the crown will fit precisely and maintain proper bite alignment. These impressions are typically made using a putty-like material or digital scanning technology.
The impressions are then sent to a dental laboratory where the crown will be custom-made. In the meantime, the dentist places a temporary crown over the prepared tooth to protect it from damage and sensitivity until the permanent crown is ready. This temporary crown is usually made from acrylic or composite material and is bonded to the tooth with temporary cement.
During the second visit, usually a few weeks later, the dentist will remove the temporary crown and check the fit and color of the permanent crown. Adjustments may be made to ensure a perfect fit and comfortable bite. Once the fit is confirmed, the dentist will clean the prepared tooth to remove any debris or temporary cement and then permanently bond the new crown in place using a strong dental adhesive. The dentist will then use a special curing light to harden the adhesive, securing the crown firmly onto the tooth.
After the procedure, the patient may experience some initial sensitivity or discomfort, which typically subsides within a few days. The dentist will provide care instructions, emphasizing the importance of good oral hygiene and regular dental check-ups to maintain the health of the crowned tooth and the surrounding gums. With proper care, a dental crown can last many years, providing a durable and aesthetically pleasing solution to restore the function and appearance of damaged teeth.

The benefits of dental crowns
One of the primary advantages of dental crowns is their ability to strengthen weakened teeth. When a tooth has undergone extensive decay, has a large filling, or is fractured, a crown can provide the necessary support to prevent further damage and ensure the tooth can withstand normal biting and chewing forces. This reinforcement not only extends the lifespan of the tooth but also helps maintain overall oral health.
Another significant benefit of dental crowns is their role in improving the appearance of teeth. Crowns are custom-made to match the color, shape, and size of the surrounding teeth, resulting in a natural and seamless look. They are an excellent option for covering teeth that are discolored, misshapen, or have other cosmetic imperfections. By enhancing the aesthetics of one's smile, dental crowns can boost self-confidence and contribute to a more positive self-image.
Dental crowns also play a crucial role in restoring functionality. Teeth that are damaged or weakened may cause pain or discomfort when eating, speaking, or even smiling. By covering and protecting these teeth, crowns restore their function, allowing individuals to enjoy their favorite foods and activities without discomfort. This restoration of function is especially important for molars, which endure significant pressure during chewing.
Moreover, dental crowns are incredibly versatile and can be used in various dental treatments. They are often used to cap a tooth after root canal therapy, protecting the treated tooth from further infection and damage. Crowns are also used in conjunction with dental implants to replace missing teeth, providing a stable and natural-looking solution. Additionally, they can anchor dental bridges, filling the gap left by missing teeth and preventing adjacent teeth from shifting out of place.
The durability of dental crowns is another notable advantage. Depending on the material used, such as porcelain, ceramic, metal, or zirconia, crowns can last for many years with proper care. Their longevity makes them a cost-effective solution in the long run, reducing the need for frequent dental repairs or replacements.

The disadvantages of dental crowns
One of the primary disadvantages is the preparation of the tooth. To place a crown, a significant amount of the tooth structure needs to be removed to ensure the crown fits properly. This reduction of the natural tooth can make the tooth more susceptible to damage in the future, particularly if the crown becomes dislodged or damaged.
Another disadvantage is the potential for discomfort and sensitivity after the procedure. Patients may experience sensitivity to hot or cold temperatures, particularly if the tooth still has a nerve. This sensitivity can last for a few days or even weeks after the crown is placed. Additionally, some patients may experience discomfort or an ill-fitting bite if the crown is not perfectly aligned with the opposing teeth, necessitating further adjustments.
Cost is another significant factor to consider. Dental crowns can be expensive, especially if they are made from high-quality materials like porcelain or ceramic. While they are a long-term investment in oral health, the initial cost can be a barrier for some patients, particularly if their dental insurance does not cover the full expense of the procedure.
Dental crowns, particularly those made from porcelain, are not impervious to damage. Although they are designed to be durable, they can chip or crack under excessive force or impact, requiring repair or replacement. Metal crowns are less prone to this type of damage, but their metallic appearance makes them less desirable for visible teeth. Porcelain-fused-to-metal crowns can also present an aesthetic issue over time as the metal may show through the porcelain, especially at the gum line.
There is also a risk of allergic reactions. Some patients may be allergic to the metals used in certain types of crowns, such as nickel. It’s important for patients to discuss any known allergies with their dentist prior to the procedure to avoid potential complications.
Moreover, crowns can occasionally come loose or fall off, especially if the underlying tooth structure decays or if the dental cement fails. This can expose the tooth to further decay and damage, requiring additional dental work. Regular dental check-ups are essential to ensure the integrity of the crown and to address any issues promptly.

Foods to avoid with a crown
Maintaining a dental crown involves not only good oral hygiene but also being mindful of the foods you eat. Certain foods can jeopardize the integrity of your crown and the underlying tooth, potentially leading to damage or dislodgment.
First, sticky foods should be avoided as they can adhere to the crown and dislodge it. Foods like caramels, chewing gum, and taffy are notorious for this. Their sticky nature can pull at the crown, loosening it or even pulling it off entirely. Even some dried fruits, like raisins or figs, can pose a risk due to their stickiness.
Secondly, hard foods can cause physical damage to the crown. Biting into hard candies, ice, nuts, and even popcorn kernels can exert excessive pressure on the crown, leading to cracks or chips. While dental crowns are designed to be durable, they are not immune to the damage that hard foods can cause, especially if you habitually bite down hard or use your teeth to crack nuts or open packaging.
Crunchy foods like raw vegetables, hard bread crusts, and chips should also be approached with caution. While these foods are generally healthy, they require you to bite down with force, which can compromise the bond between the crown and the tooth or even cause fractures in the crown material.
Chewy foods, such as steak or dense bread, can also pose a risk. These foods require significant force to chew, which can put stress on the crown. Over time, this repeated stress can weaken the crown’s bond to the tooth or cause the crown itself to wear down.
Sugary foods and drinks are another category to be wary of. While they may not directly damage the crown, they can lead to decay in the tooth underneath the crown if proper oral hygiene is not maintained. Bacteria thrive on sugar, producing acids that can seep into any tiny gaps between the crown and the tooth, leading to decay and potentially requiring the crown to be replaced.
Acidic foods and beverages like citrus fruits, tomatoes, and soda can erode the cement that holds the crown in place. While occasional consumption is unlikely to cause significant harm, frequent exposure can gradually weaken the bond, increasing the risk of the crown becoming loose.
Finally, it’s wise to avoid extreme temperatures. Very hot or very cold foods and drinks can cause the materials in your crown and natural teeth to expand and contract, potentially leading to cracks or weakening the bond. Hot coffee, tea, ice cream, and cold drinks should be consumed with caution to avoid exposing your crown to these temperature extremes.

Conclusion
In conclusion, dental crowns are a versatile and effective solution for restoring the function, appearance, and strength of damaged or weakened teeth. They offer numerous benefits, including protection from further damage, improved aesthetics, and enhanced chewing capability. Despite the potential disadvantages, such as cost and the need for tooth preparation, dental crowns remain a popular choice due to their durability and ability to mimic natural teeth. By understanding the various types of crowns and their specific advantages, patients can make informed decisions in collaboration with their dentists to achieve long-lasting, healthy, and beautiful smiles.
Read More
