Overview
Myringotomy is a surgical procedure where a small incision is made in the eardrum to drain fluid or relieve pressure in the middle ear. It is often paired with tympanostomy tube placement to prevent infections and improve hearing.

Myringotomy involves a small incision in the eardrum, or tympanic membrane. Typically performed to relieve pressure caused by excessive fluid buildup in the middle.
Myringotomy is a surgical procedure where a small incision is made in the eardrum to drain fluid or relieve pressure in the middle ear. It is often paired with tympanostomy tube placement to prevent infections and improve hearing.
Equipped hospitals, and advanced specialized centers with experienced doctors and specialists are available in all medical treatment areas in Iran. Also, good hotels and entertainment centers have made Iran an appropriate choice for patients who need Myringotomy.
The cost of myringotomy in Iran is significantly lower compared to many other countries, making it an attractive option for patients seeking affordable medical care. Iran has established itself as a hub for medical tourism, offering high-quality healthcare services at competitive prices. The cost of a myringotomy procedure in Iran can vary depending on factors such as the hospital or clinic, the surgeon's expertise, and whether tympanostomy tubes are placed during the procedure. On average, the price for myringotomy in Iran is around 1,500-3,000 USD. This affordability is attributed to the lower cost of living, favorable exchange rates, and the availability of skilled medical professionals in the country.

Before a myringotomy, thorough preparation ensures that the patient is ready for surgery. The process typically begins with a consultation, during which the healthcare provider evaluates the patient’s medical history, performs an ear examination, and may conduct hearing tests to confirm the presence of fluid buildup or other issues requiring surgical intervention. For children or adults undergoing general anesthesia, specific pre-operative instructions are provided, such as fasting for several hours before surgery to ensure safety during anesthesia. The healthcare provider also addresses any concerns or questions, explaining the procedure in detail and outlining potential risks and benefits.
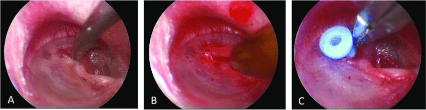
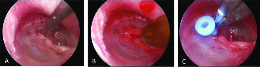
During the myringotomy itself, the procedure is performed in a sterile setting, often as an outpatient surgery. For children, general anesthesia is commonly administered to minimize stress and discomfort, while adults may opt for local anesthesia to numb the ear. Once the patient is prepared, the surgeon uses a small, specialized tool to create a tiny incision in the eardrum, allowing trapped fluids to drain from the middle ear. In cases where prolonged ventilation is needed, the surgeon may place a tympanostomy tube in the incision to facilitate airflow and prevent future fluid buildup. The procedure is quick, typically lasting around 15 to 30 minutes, and is designed to minimize damage to surrounding tissue while effectively relieving symptoms.
Myringotomy is a surgical procedure where a small incision is made in the eardrum to drain fluid or relieve pressure from the middle ear.
During myringotomy, a surgeon makes a tiny incision in the eardrum using specialized tools. This allows any trapped fluid to drain out. In many cases, a small tube called a tympanostomy tube is placed in the incision to keep the middle ear ventilated and prevent fluid from reaccumulating.
Recovery is typically swift, with most patients resuming normal activities within a day or two. If tympanostomy tubes are placed, they usually fall out on their own after a few months.
After the myringotomy, patients are closely monitored during recovery, particularly if general anesthesia was used. In most cases, the recovery process is straightforward, and patients can return home shortly after the procedure. They may experience minor discomfort or ear drainage for a few days, which is managed with prescribed pain relievers and post-operative care instructions. Tympanostomy tubes, if placed, remain in the ear for several months, falling out naturally as the eardrum heals. Follow-up appointments are scheduled to ensure proper healing and tube function. Patients are advised to avoid activities like swimming without ear protection to prevent water from entering the ear and causing infections. Overall, the recovery is swift, and most individuals notice immediate improvement in hearing, reduced pain, and fewer infections, significantly enhancing their quality of life.

While myringotomy is generally considered a safe and effective procedure, like any surgery, it carries certain risks and potential complications. Understanding these risks can help patients make informed decisions and ensure proper post-operative care to minimize complications. The most common risks associated with myringotomy include infection, bleeding, and pain at the surgical site. Though rare, infections may develop in the middle ear after the procedure, particularly if proper hygiene is not maintained or water enters the ear during activities like swimming. Bleeding is usually minor and occurs immediately after the incision is made, but it typically resolves quickly with no long-term effects. Pain or discomfort following the surgery is generally mild and temporary, often managed with over-the-counter pain relief medications.
One potential complication is the premature extrusion of tympanostomy tubes, which are often placed during myringotomy to maintain middle ear ventilation. These tubes are designed to fall out naturally as the eardrum heals, but if they exit too early, fluid may reaccumulate, requiring additional intervention. Conversely, tubes may remain in the eardrum longer than intended, necessitating removal through a secondary procedure. Scarring of the eardrum, known as tympanosclerosis, is another possible complication. While this scarring is usually mild and does not affect hearing, severe cases can potentially impact the eardrum’s function.
In rare instances, hearing changes may occur following myringotomy. This can include temporary hearing loss due to residual fluid or permanent hearing issues caused by structural damage to the eardrum or middle ear. However, these complications are exceedingly uncommon, as the procedure is meticulously performed to avoid damage. Another rare risk is eardrum perforation, where the incision fails to heal properly and leaves a persistent hole in the eardrum. In such cases, additional treatments or surgeries may be necessary to close the perforation.

Myringotomy offers numerous advantages, making it a highly effective and reliable solution for individuals suffering from middle ear problems. One of its most significant benefits is the relief it provides from chronic ear infections and fluid buildup behind the eardrum, known as otitis media with effusion (OME). By draining the trapped fluid, the procedure reduces pain, pressure, and the risk of recurrent infections, which can be disruptive and uncomfortable for patients. In children, this relief is particularly valuable, as chronic ear conditions can interfere with hearing and language development, impacting their social and cognitive progress. Myringotomy effectively restores normal ear function, enabling patients to hear clearly and engage in daily activities without discomfort.
The procedure’s ability to improve hearing is another major advantage. Fluid buildup in the middle ear often impairs the eardrum’s vibrations, leading to temporary hearing loss. Myringotomy eliminates this issue by draining the fluid, allowing sound waves to travel freely to the inner ear. This improvement in hearing can significantly enhance the quality of life for both children and adults, ensuring that they can communicate effectively and enjoy their surroundings. Additionally, for individuals with barotrauma caused by rapid changes in atmospheric pressure during activities like flying or diving, myringotomy helps equalize ear pressure, alleviating pain and preventing further damage.
Myringotomy is a minimally invasive and relatively quick procedure, typically performed as an outpatient surgery. This simplicity makes it accessible to patients of all ages, including young children who may undergo the procedure under general anesthesia for comfort. Recovery is typically swift, with most patients resuming their normal activities within a day or two. Moreover, when tympanostomy tubes are placed during myringotomy, they provide prolonged benefits by preventing fluid reaccumulation and maintaining proper ventilation in the middle ear. This reduces the likelihood of future infections and minimizes the need for repeated antibiotic use, which can lead to antibiotic resistance.

Myringotomy is a surgical procedure involving a small incision in the eardrum, or tympanic membrane. This procedure is typically performed to relieve pressure caused by excessive fluid buildup in the middle ear or to provide a pathway for fluid drainage. In many cases, myringotomy is paired with the placement of tiny ventilation tubes (known as tympanostomy or ear tubes) to maintain proper airflow and prevent recurrent ear infections. It is commonly recommended for individuals, particularly children, who experience chronic otitis media (middle ear infections) or persistent fluid accumulation that does not respond to medical treatments.

Myringotomy is a minor surgical procedure performed on the eardrum, or tympanic membrane, to alleviate conditions affecting the middle ear. It involves creating a small incision in the eardrum to drain trapped fluids, such as pus or mucus, that can accumulate due to infection, inflammation, or other disorders. This accumulation often results in discomfort, hearing loss, or recurrent ear infections, especially in children. By relieving pressure and removing fluids, myringotomy helps restore normal ear function, alleviate pain, and prevent complications that may arise if the condition is left untreated. In many cases, the procedure is coupled with the placement of small ventilation tubes, commonly referred to as tympanostomy or ear tubes, within the incision. These tubes help maintain proper airflow and prevent fluid from reaccumulating in the middle ear. The tubes typically remain in place for several months and eventually fall out on their own as the eardrum heals.
Myringotomy is recommended for individuals experiencing chronic or recurrent otitis media (middle ear infections), persistent fluid buildup that does not resolve with medical treatments, or significant hearing loss caused by middle ear effusion. It is also used to address conditions such as barotrauma, which results from sudden pressure changes during activities like flying or diving. The procedure is considered safe, minimally invasive, and highly effective, with most patients experiencing immediate relief and improvement in their symptoms. For children, myringotomy and tube placement are commonly performed under general anesthesia to ensure comfort and minimize distress, while adults may undergo the procedure with local anesthesia in an outpatient setting.

Myringotomy is performed to address medical conditions and complications stemming from issues in the middle ear, primarily to improve hearing, alleviate pain, and prevent recurrent infections. The procedure is often recommended when fluid accumulates behind the eardrum—a condition known as otitis media with effusion or "glue ear"—which may not resolve on its own or respond to medications like antibiotics or antihistamines. Persistent fluid buildup can impair the eardrum's vibration, leading to temporary hearing loss and affecting speech and developmental milestones in children. For individuals of all ages, this fluid can also create a breeding ground for bacteria, resulting in chronic ear infections that cause discomfort, fever, and even damage to the eardrum if untreated.
Myringotomy is particularly beneficial for relieving pressure in the middle ear caused by infections or blockages, which can lead to intense pain and complications such as eardrum perforation. It is also used to manage conditions like barotrauma—damage to the eardrum caused by sudden changes in atmospheric pressure during activities such as flying or scuba diving. In such cases, the procedure allows the equalization of pressure within the ear, alleviating pain and preventing further damage. Additionally, myringotomy is an effective solution for individuals with recurrent ear infections who experience minimal relief from medical treatments. By creating a pathway for fluid drainage, the procedure reduces the likelihood of future infections and minimizes the use of antibiotics, which can lead to antibiotic resistance over time.
For patients who require prolonged relief, the placement of tympanostomy tubes during myringotomy helps maintain proper ventilation in the middle ear and prevents fluid reaccumulation. These tubes are especially useful for children, as they can significantly improve hearing, reduce infections, and support normal development. Overall, myringotomy is a simple yet impactful procedure that addresses the discomfort and complications associated with middle ear disorders. Its ability to provide immediate relief and long-term benefits makes it an essential option for improving the quality of life for patients suffering from chronic ear-related issues. The procedure allows individuals to regain hearing, prevent further complications, and enjoy day-to-day activities without the persistent interference of middle ear problems.

Myringotomy becomes necessary when middle ear conditions persist or worsen despite non-surgical treatments, leading to significant discomfort, hearing impairment, or potential complications. One of the most common scenarios requiring myringotomy is recurrent or chronic otitis media, where persistent ear infections do not respond well to antibiotics or other medications. These infections can cause fluid buildup behind the eardrum, known as otitis media with effusion (OME) or "glue ear," which may not resolve on its own. When fluid accumulation remains untreated, it can result in hearing loss, speech delays, or developmental issues, especially in young children. Myringotomy is also crucial for patients experiencing severe pressure-related discomfort in the middle ear, often linked to barotrauma caused by rapid changes in atmospheric pressure during activities such as flying or scuba diving. This procedure helps equalize pressure and alleviate pain in such situations.
In some cases, myringotomy is necessary for individuals with eardrum retraction, where a vacuum effect within the middle ear pulls the eardrum inward, causing pain and increasing the risk of structural damage. The procedure can also address complications like cholesteatoma, an abnormal growth of skin cells behind the eardrum, which can lead to serious infections if left untreated. Additionally, myringotomy is often recommended for individuals with a weakened immune system or certain anatomical factors that make them more susceptible to recurrent ear infections or complications.
For patients requiring extended relief from fluid buildup or infection, myringotomy may include the placement of tympanostomy tubes. These small tubes are inserted into the eardrum incision to maintain ventilation and prevent fluid from reaccumulating. This approach is especially beneficial for children, as it not only alleviates symptoms but also reduces the need for repeated antibiotic use, thereby minimizing the risk of developing antibiotic resistance. Adults, too, may benefit from myringotomy when persistent middle ear issues interfere with daily life or professional activities.
