Angiography is a specialized medical imaging technique used to visualize the inside of blood vessels and organs, particularly the arteries, veins, and heart chambers.
Overview
Angiography is a diagnostic imaging technique that visualizes blood vessels and organs to identify blockages, abnormalities, or other vascular conditions. By injecting contrast dye into the blood vessels and capturing X-ray images, doctors can see any issues affecting blood flow, enabling accurate diagnosis and informed treatment decisions.
About Angiography
Angiography is a specialized medical imaging technique used to visualize the inside of blood vessels and organs, particularly the arteries, veins, and heart chambers. This diagnostic procedure helps in identifying blockages, abnormalities, or other vascular conditions that can affect blood flow. Angiography is commonly used to diagnose conditions such as coronary artery disease, aneurysms, blood clots, and peripheral artery disease.
What is Angiography?
Angiography is a sophisticated medical imaging technique used to visualize the interior of blood vessels and organs, primarily focusing on the arteries, veins, and heart chambers. This procedure plays a crucial role in diagnosing and managing various vascular and cardiovascular conditions. It involves injecting a contrast dye into the bloodstream to enhance the visibility of blood vessels on X-ray images, allowing healthcare professionals to identify blockages, narrowing, or other abnormalities that may affect blood flow.
The process of angiography begins with the insertion of a catheter, a thin flexible tube, into a blood vessel. This is usually done through an access point in the groin or arm. The catheter is then carefully guided to the area of interest under the guidance of fluoroscopy, a type of real-time X-ray imaging. Once in position, the contrast dye is injected through the catheter, and a series of X-ray images are taken to capture the enhanced view of the blood vessels.
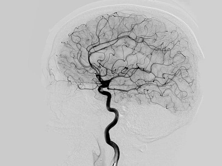
There are different types of angiographies, each tailored to specific diagnostic needs. Coronary angiography, for instance, is used to examine the arteries supplying blood to the heart, helping to diagnose coronary artery disease and guide interventions such as angioplasty or stenting. Cerebral angiography focuses on the blood vessels in the brain, aiding in the detection of aneurysms, arteriovenous malformations, or blockages that could lead to stroke. Pulmonary angiography examines the blood vessels in the lungs, often used to diagnose conditions like pulmonary embolism.
Angiography is generally performed under local anesthesia, ensuring patient comfort while maintaining a minimally invasive approach. The procedure typically takes between 30 minutes to 2 hours, depending on the complexity and the area being examined. It is considered a relatively safe procedure, though there are some risks involved, such as allergic reactions to the contrast dye, bleeding at the catheter insertion site, or, in rare cases, damage to blood vessels.
One of the significant advantages of angiography is its ability to provide detailed and accurate images of the vascular system, enabling precise diagnosis and informed treatment decisions. The information obtained from angiography can guide various therapeutic interventions, ranging from lifestyle modifications and medications to minimally invasive procedures like angioplasty, where a balloon is used to open up a narrowed artery, or the placement of stents to keep blood vessels open.
Share:
Other Treatments in Cardiology
Rate & Reviews
FAQs
This procedure helps doctors diagnose and evaluate conditions such as blockages, narrowing, aneurysms, and other vascular abnormalities. It is commonly used to diagnose coronary artery disease, peripheral artery disease, and other cardiovascular conditions.
During angiography, a catheter is inserted into a blood vessel, usually in the groin or arm, after the area is numbed with local anesthesia. The procedure typically takes between 30 minutes to 2 hours, depending on the complexity and the area being examined.
While angiography is generally safe, it carries certain risks, such as bleeding or bruising at the catheter insertion site, allergic reactions to the contrast dye, and kidney damage, particularly in patients with pre-existing kidney conditions.
Angiography is a detailed imaging procedure used to visualize the inside of blood vessels and organs, particularly the arteries, veins, and heart chambers. It is a crucial diagnostic tool in identifying blockages, abnormalities, or other vascular conditions. The procedure typically begins with the patient lying on an X-ray table in a specialized angiography suite. The area where the catheter will be inserted, usually the groin or arm, is cleaned and numbed with a local anesthetic to ensure patient comfort.
Once the area is numb, a small incision is made, and a thin, flexible tube called a catheter is inserted into the blood vessel. The catheter is carefully guided through the vascular system to the area of interest using real-time X-ray imaging, known as fluoroscopy. This allows the physician to navigate the catheter precisely to the target location.
After the catheter is in place, a contrast dye is injected through it into the bloodstream. This dye makes the blood vessels more visible on X-ray images, providing a clear view of any blockages, narrowing, or other abnormalities. Multiple X-ray images are taken in rapid succession as the dye moves through the blood vessels, allowing the physician to observe the flow of blood and identify any issues.
Throughout the procedure, the medical team closely monitors the patient’s vital signs, ensuring their safety and comfort. The patient may feel a warm sensation when the contrast dye is injected, but this is generally brief and harmless. The entire angiography procedure typically takes between 30 minutes to 2 hours, depending on the complexity and the area being examined.
Once the imaging is complete, the catheter is carefully removed, and pressure is applied to the insertion site to prevent bleeding. A bandage is then placed over the area, and the patient is moved to a recovery area for monitoring. It is crucial to keep the insertion site clean and dry to prevent infection.
After the procedure, patients are advised to drink plenty of fluids to help flush the contrast dye from their system. They should avoid strenuous activities for a few days to allow the insertion site to heal properly. Follow-up appointments with the physician may be scheduled to discuss the results of the angiography and determine the next steps in the patient’s treatment plan.
What’s the difference between angiography & angioplasty?
Angiography and angioplasty are two distinct procedures used in the diagnosis and treatment of cardiovascular conditions, but they serve different purposes.
Angiography is a diagnostic imaging technique used to visualize the inside of blood vessels and identify abnormalities such as blockages, narrowing, or aneurysms. During angiography, a contrast dye is injected into the bloodstream through a catheter, and X-ray images are taken to provide a clear view of the blood vessels. This procedure helps doctors diagnose conditions like coronary artery disease, peripheral artery disease, and other vascular disorders.
On the other hand, angioplasty is a therapeutic procedure used to treat narrowed or blocked blood vessels. It often follows an angiography if a blockage is detected. During angioplasty, a catheter with a small balloon at its tip is inserted into the narrowed artery. Once in place, the balloon is inflated to widen the artery and restore normal blood flow. In many cases, a stent (a small mesh tube) is placed in the artery to keep it open and prevent future blockages.
Angiography Process
Who needs an Angiography?
Angiography is a crucial diagnostic tool used to assess blood vessels and identify various cardiovascular conditions, making it essential for a wide range of patients. Individuals who exhibit symptoms of heart disease, such as chest pain (angina), shortness of breath, dizziness, or unexplained fatigue, are prime candidates for angiography. These symptoms can indicate the presence of blockages or narrowing in the coronary arteries, which can lead to serious conditions like heart attacks if left untreated. Angiography helps doctors visualize these blockages and plan appropriate interventions.
Patients with a history of heart disease or those who have undergone previous cardiac procedures, such as angioplasty or coronary artery bypass grafting (CABG), may also require angiography. This procedure can monitor the effectiveness of prior treatments and detect any new or recurring issues in the blood vessels. Additionally, individuals with congenital heart defects or structural abnormalities of the heart and blood vessels may need angiography for accurate diagnosis and surgical planning.
People with peripheral artery disease (PAD) are another group that benefits from angiography. PAD involves the narrowing of blood vessels outside the heart and brain, often affecting the legs and arms. Symptoms of PAD include leg pain, numbness, or cramping during physical activity. Angiography can pinpoint the location and severity of blockages in peripheral arteries, guiding treatment options like angioplasty or stenting.
Patients with suspected or confirmed aneurysms, which are abnormal bulges in the walls of blood vessels, also require angiography. This imaging technique helps determine the size, location, and extent of the aneurysm, providing critical information for surgical or endovascular repair. Similarly, angiography is essential for individuals with arteriovenous malformations (AVMs), which are abnormal connections between arteries and veins. By visualizing the intricate details of AVMs, doctors can develop precise treatment plans to prevent complications like bleeding or stroke.
Individuals with chronic kidney disease or those on hemodialysis may need angiography to assess the blood vessels used for dialysis access. Ensuring these vessels are functioning properly is vital for effective dialysis treatment. Additionally, patients with unexplained episodes of fainting, dizziness, or stroke-like symptoms may undergo cerebral angiography to evaluate blood flow to the brain and identify potential blockages or abnormalities.
Angiography procedure
Angiography is a specialized medical imaging procedure used to visualize the interior of blood vessels and organs, particularly the arteries, veins, and heart chambers. This diagnostic technique helps identify abnormalities such as blockages, narrowing, or aneurysms, providing critical information for the diagnosis and treatment of various cardiovascular conditions.
The angiography procedure begins with the patient lying on an X-ray table in a specialized angiography suite. The area where the catheter will be inserted, usually the groin or arm, is thoroughly cleaned and numbed with a local anesthetic to ensure patient comfort. Once the area is numb, a small incision is made, and a thin, flexible tube called a catheter is inserted into the blood vessel. The catheter is then carefully guided through the vascular system to the area of interest under the guidance of real-time X-ray imaging, known as fluoroscopy. This allows the physician to navigate the catheter precisely to the target location.
Once the catheter is in place, a contrast dye is injected through it into the bloodstream. The contrast dye enhances the visibility of the blood vessels on X-ray images, providing a clear and detailed view of any blockages, narrowing, or structural abnormalities. Multiple X-ray images are taken in rapid succession as the dye moves through the blood vessels, allowing the physician to observe the flow of blood and identify any issues.
During the procedure, the medical team closely monitors the patient's vital signs to ensure their safety and comfort. The patient may feel a warm or flushed sensation when the contrast dye is injected, but this is generally brief and harmless. The entire angiography procedure typically takes between 30 minutes to 2 hours, depending on the complexity and the area being examined.
Once the imaging is complete, the catheter is carefully removed, and pressure is applied to the insertion site to prevent bleeding. A bandage is then placed over the area, and the patient is moved to a recovery area for monitoring. It is crucial to keep the insertion site clean and dry to prevent infection.
After the procedure, patients are advised to drink plenty of fluids to help flush the contrast dye from their system. They should avoid strenuous activities for a few days to allow the insertion site to heal properly. Follow-up appointments with the physician may be scheduled to discuss the results of the angiography and determine the next steps in the patient's treatment plan.
Angiography risks
Angiography is a critical diagnostic tool used to visualize blood vessels and diagnose various cardiovascular conditions, but like any medical procedure, it comes with certain risks.
One of the most common risks is bleeding or bruising at the catheter insertion site, typically in the groin or wrist. This is usually minor and can be managed with pressure and bandaging, but in rare cases, it may lead to more significant bleeding that requires medical intervention.
Allergic reactions to the contrast dye used during angiography can also occur. These reactions can range from mild symptoms, such as itching and rash, to more severe reactions like difficulty breathing or anaphylaxis. To mitigate this risk, patients are often screened for allergies to contrast dye or iodine before the procedure, and pre-medications may be administered to prevent allergic reactions.
Kidney damage is another potential risk, particularly in patients with pre-existing kidney conditions. The contrast dye used in angiography can sometimes cause kidney function to deteriorate, leading to a condition known as contrast-induced nephropathy. Patients with compromised kidney function are typically monitored closely, and measures such as hydration and the use of alternative contrast agents may be employed to reduce the risk.
Infection at the catheter insertion site is a risk, though it is relatively rare. Strict aseptic techniques are used during the procedure to minimize this risk. If an infection does occur, it may require antibiotic treatment and, in some cases, additional medical procedures to address it.
Blood vessel damage can occur if the catheter accidentally punctures or tears the blood vessel walls. This can lead to complications such as hematomas, arteriovenous fistulas, or pseudoaneurysms, which may require further medical intervention to repair. Additionally, the catheter or contrast dye can dislodge existing blood clots, potentially leading to serious complications such as stroke or heart attack.
Radiation exposure is another consideration, as angiography involves the use of X-rays to visualize the blood vessels. While the amount of radiation exposure is generally low and considered safe for most patients, repeated exposure over time can increase the risk of radiation-related complications.
Angiography in Iran
Equipped hospitals, and advanced specialized centers with experienced doctors and specialists are available in all medical treatment areas in Iran. Also, good hotels and entertainment centers have made Iran an appropriate choice for patients who need Angiography.
Angiography cost in Iran
The cost of angiography in Iran is significantly lower compared to many other countries, making it an attractive option for both local and international patients seeking high-quality medical care at an affordable price. On average, the cost of angiography in Iran is around 4,000 USD. This price includes the procedure itself, hospitalization, and follow-up care. In contrast, angiography in the United States can cost between $30,000 and $30,300, while in European countries, the price ranges from $7,000 to $7,500.
The affordability of angiography in Iran does not compromise the quality of care. Iranian cardiologists are highly skilled and use advanced techniques to perform angiography with high success rates. The procedure itself is minimally invasive and involves inserting a catheter with a small balloon at its tip into the blocked artery. The balloon is inflated to open up the artery, and a stent is often placed to keep the artery open and prevent future blockages. In addition to the lower costs, patients in Iran benefit from shorter waiting times and personalized care from experienced medical professionals. The country's healthcare system is well-equipped to handle complex cardiovascular procedures, ensuring that patients receive the best possible treatment.
Overall, angiography in Iran offers a cost-effective solution for patients seeking high-quality cardiovascular care without the financial burden associated with treatment in many Western countries. The combination of affordable prices, skilled medical professionals, and modern facilities makes Iran a leading destination for medical tourism in the field of cardiovascular health.
Angiography - Cardiology Medical Treatment Procedures
No comments yet! Be the first to share your thoughts and start the conversation.
5
Excellent -1 Reviews
Cost5
Safety5
Working Time5
Quality of Care5
Technology Used5
Doctor's Experience5
No review has been submitted yet. Be the first to share your experience.